facebook instagram
952 358 483
Avda. Juan XXIII, 40 1ºB
29006 Málaga
  • Inicio
  • ¿Quienes somos?
  • Especialidades
    • Implantología
    • Ortodoncia
    • Periodoncia
    • Endodoncia
    • Prótesis
    • Odontología General
    • Estética dental
    • Bruxismo y ATM
    • Preservación de células
      madres de pulpa dental
  • Equipo médico
  • Instalaciones
  • Financiación
  • Tecnología
  • Contacto
  • +34 952 22 22 22
  • info@drwalter.com

Especialidades

  • Inicio
  • Especialidades
  • Estética dental
Estética dental

EndodonciaEl Diseño de Sonrisa es un término que han empleado los últimos años los medios de comunicación para referirse a la sonrisa perfecta. Sin embargo, el Diseño de Sonrisa en realidad no es un tratamiento específico, es el conjunto de procedimientos que nos llevan a obtener una sonrisa resplandeciente.

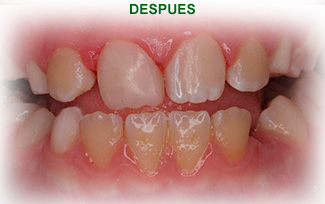
En Clínica Dr. Walter contamos con equipos y novedosa tecnología que nos ayuda a diagnosticar de manera correcta los tratamientos a seguir. El Diseño de Sonrisa es un diagnóstico integral e independiente de cada paciente, y es importante analizar las características de sus dientes, encías y boca. En algunas ocasiones se procede a modificar el tamaño, la forma y el color de los dientes por medio de las Carillas Dentales. Otros pacientes requieren modificar la altura de las encías para darle más armonía a su sonrisa y para estos casos recurrimos a la Gingivoplastia (es un procedimiento cuyo propósito es el de volver a contornear la encía en ausencia de bolsas, buscando devolverle su arquitectura y fisiología normal).

Estetica Dental Antes del tratamiento Estetica Dental Tras del tratamiento

Estetica Dental Antes del tratamiento Estetica Dental Tras del tratamiento

Estetica Dental Antes del tratamiento Estetica Dental Tras del tratamiento

Estetica Dental Antes del tratamiento Estetica Dental Tras del tratamiento

Clinica Dental Dr. Walter
Avda. Juan XXIII, 40 1ºB
29006 Málaga
952 358 483
info@clinicadrwalter.es
Aviso Legal
Política de privacidad
Política de Cookies

Copyright 2014 Clinica Dental Dr. Walter | All Rights Reserved

  • Contacto
  • Equipo médico
  • Tratamientos
  • Equipamiento
  • Inicio